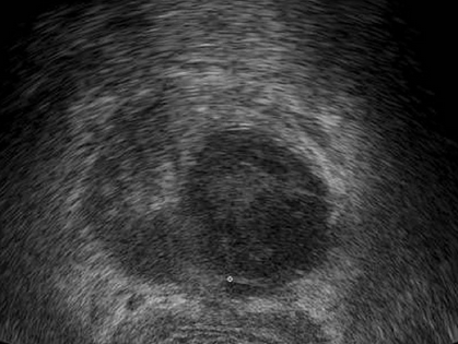
/Infekte in der AM /Harnwegsinfekte /Cystitis beim Mann /akute bakterielle Prostatitis /Prostata-Abszeß im Ultraschall Prostata-Abszeß im Ultraschallvon: Christoph FischerUS-Bild: Liquide Aussparung, im Randbereich häufig fingerartige Ausbreitung[1]
sonographische Wanddicke Blase: Normalwerte
Literatur: [1] Transrektale Prostatasonographie. Henning Bartels Springer 1996 [2] Mantke, René et al.: 2001 Sonographie für Chirurgen DOI: 10.1055/b-0033-1816 erstellt 8-2019 |
||
